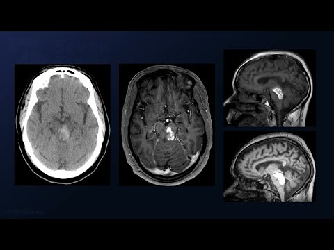
Hellow guys, Welcome to my website, and you are watching Double Pontine Cavernous Malformations Resected with a Trans-Middle Cerebellar Peduncle Approach. and this vIdeo is uploaded by Barrow Neurological Institute at 2022-03-17T12:36:09-07:00. We are pramote this video only for entertainment and educational perpose only. So, I hop you like our website.

.png)



















