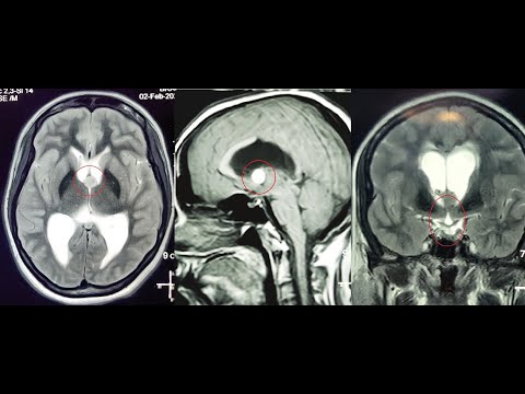
Hellow guys, Welcome to my website, and you are watching COLLOID CYST 3RD VENTRICLE NAVIGATION GUIDED MICROSURGERY -dr suresh dugani/HUBLI/INDIA. and this vIdeo is uploaded by drsuresh dugani NEUROSURGERY EDUCATIVE VIDEOS ATLAS at 2017-07-11T09:30:43-07:00. We are pramote this video only for entertainment and educational perpose only. So, I hop you like our website.

.png)


















