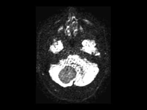
Hellow guys, Welcome to my website, and you are watching Suboccipital Craniotomy for Resection of a Fourth Ventricular Hemangioblastoma. and this vIdeo is uploaded by Barrow Neurological Institute at 2022-05-24T16:45:28-07:00. We are pramote this video only for entertainment and educational perpose only. So, I hop you like our website.

.png)


















