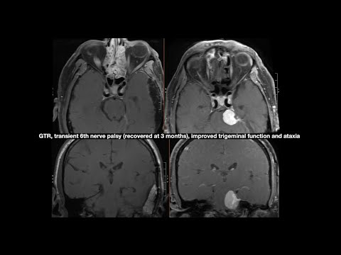
Hellow guys, Welcome to my website, and you are watching Transpetrosal Approach: Indications and a Video Review of Cases (Preview). and this vIdeo is uploaded by Neurosurgical Atlas by Aaron Cohen-Gadol, MD at 2013-07-31T19:28:59-07:00. We are pramote this video only for entertainment and educational perpose only. So, I hop you like our website.