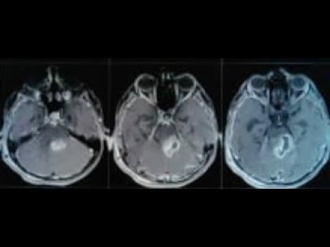
Hellow guys, Welcome to my website, and you are watching Tectal plate glioma with hydrocephalus with CSf rhinorhoea from lat sphenoid recess. and this vIdeo is uploaded by Dr K K Bansal at 2022-09-09T11:30:46-07:00. We are pramote this video only for entertainment and educational perpose only. So, I hop you like our website.

.png)






















