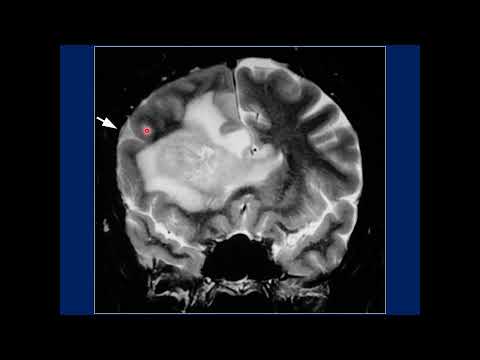
Hellow guys, Welcome to my website, and you are watching Transsulcal Resection Technique for a Cluster of Parietal Cavernous Malformations. and this vIdeo is uploaded by Barrow Neurological Institute at 2022-06-28T16:07:10-07:00. We are pramote this video only for entertainment and educational perpose only. So, I hop you like our website.

.png)


















