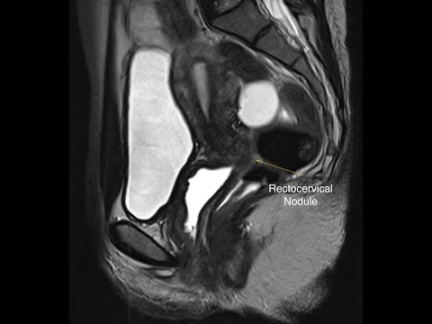
Hellow guys, Welcome to my website, and you are watching Anatomy, Utero-sacral Ligament Neurectomy (Frankenhauser), 36s. and this vIdeo is uploaded by Alysson Zanatta at 2016-10-09T00:42:30-07:00. We are pramote this video only for entertainment and educational perpose only. So, I hop you like our website.

.png)



















